
Welcome to Animal Dental Clinic, the Vienna area's leader in veterinary endodontics. Our dedicated team provides specialized dental care to save your pet’s teeth and relieve oral pain using advanced techniques.

Endodontics is a branch of veterinary dentistry focused on treating issues inside your pet’s teeth, including the pulp and root canal. This service addresses infected, fractured, or painful teeth caused by trauma, disease, or decay.
By saving the natural tooth with endodontic treatment, we help pets maintain a healthy, pain-free mouth and preserve normal chewing ability. Procedures such as root canal therapy and vital pulp therapy remove infection and protect your pet from future dental complications.
At Animal Dental Clinic, we combine our decades of experience in Vienna, VA with state-of-the-art equipment and compassionate care. Our goal is to restore your pet’s oral health while minimizing discomfort and ensuring the longest-lasting results possible.
Endodontic treatment at Animal Dental Clinic is carefully tailored to your pet’s needs. Our process includes advanced diagnostics, pain management, and precise procedures performed by an experienced veterinary dentist.
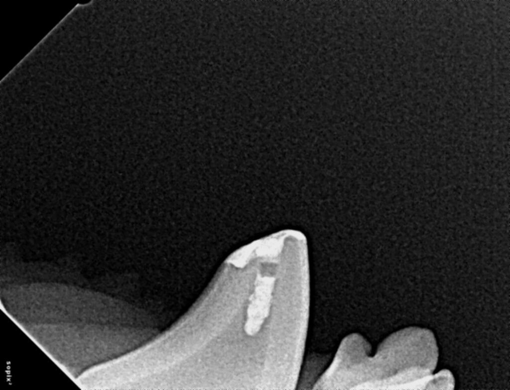
Dr. Hall begins with a thorough oral exam and dental radiographs to assess the tooth's condition. Our team uses digital X-rays and CBCT scans for detailed imaging, allowing us to identify hidden damage or infection beneath the surface.
Your pet’s safety and comfort are always our first priority. Before any endodontic procedure, our veterinarians provide local anesthesia along with careful monitoring. This approach keeps pets comfortable and reduces anxiety throughout treatment.
If a root canal or pulp therapy is needed, our team removes diseased tissue from inside the tooth. The root canal is thoroughly cleaned, disinfected, and filled with a material that seals out bacteria. This technique lets your pet keep their natural tooth and resolve pain.
After the tooth is filled, we restore its function with a protective crown or composite restoration. The healing process is monitored through follow-up appointments, ensuring long-term results and excellent oral health for your pet.

Endodontic care plays a critical role in preventing discomfort, infection, and tooth loss in pets. Treating the tooth’s inner tissues stops the progression of dental disease, reduces pain, and safeguards overall health.
Many common conditions, such as tooth fractures and deep infections, can threaten your pet’s wellbeing without specialized attention. Veterinary endodontics in Vienna allows us to save teeth, support healthy eating, and prevent serious complications that could affect organ health.
Persistent oral pain can dramatically affect your pet’s behavior and quality of life. Endodontic treatment relieves pain efficiently, letting your pet return to their happy, normal self.
By saving the natural tooth, pets keep optimal chewing function and avoid complications linked to extractions. This results in better nutrition and fewer future dental problems.
Root canal therapy and similar procedures prevent infections from spreading. Early intervention stops further tissue damage, helping your pet avoid complex, costly dental surgeries in the future.
Some dental problems can go unnoticed until they become serious. Watch for these signs that your pet may need veterinary endodontics in Vienna:
If you see any of these symptoms, prompt care is critical. Contact Animal Dental Clinic right away to protect your pet’s comfort and prevent worsening infection.
There is no set schedule for endodontic treatment; however, regular dental checkups are key for early detection. Most adult pets benefit from a comprehensive dental exam once a year, or more often if they have a history of dental disease, trauma, or breed predispositions.
Our veterinary team in Vienna provides personalized recommendations based on your pet’s specific needs. Senior pets, brachycephalic breeds, and those with chronic dental issues may require more frequent monitoring and imaging. We will always guide you on the best timeline for exams and preventive care.
Animal Dental Clinic stands apart as Virginia's longest-standing, dentistry-only practice, focused exclusively on advanced pet dental care in Vienna, VA.
Our veterinary team uses advanced anesthesia and gentle techniques to minimize discomfort. Most pets experience quick recovery with improved comfort after endodontic care at Animal Dental Clinic in Vienna.
Most root canal procedures are completed in one visit, lasting one to two hours. Costs vary by case complexity; please call (703) 281-5900 for a personalized estimate.
Your pet may need to fast before the procedure, and we’ll provide detailed instructions beforehand. Aftercare usually involves soft food and home monitoring. Our team provides full guidance and support.
Endodontics can treat fractured teeth, abscesses, advanced decay, and infected roots. This service prevents ongoing pain and helps preserve oral health for most cats and dogs.
Simply call our office during business hours, Monday through Friday, 7am to 4pm. We are located at 410 Maple Avenue West, Suite 1, Vienna, VA 22180. Our team is happy to answer your questions and book your appointment.
Help your pet live pain-free and keep their healthy smile. Call Animal Dental Clinic at (703) 281-5900 or visit us at 410 Maple Avenue West, Suite 1, Vienna, VA 22180, conveniently located across the street from Wawa.
Our expert veterinary team is here Monday through Friday, 7am to 4pm. If you have questions about veterinary endodontics in Vienna or your pet’s dental health, please reach out. We are committed to providing trusted, specialized care for every pet in Vienna and the surrounding communities.