
Welcome to Animal Dental Clinic, where we provide advanced veterinary periodontics to diagnose, treat, and manage periodontal (gum) disease in dogs and cats. Periodontal disease is one of the most common and serious oral health conditions in pets, and specialized care is essential to protect long-term comfort and systemic health.
Our dental team combines advanced diagnostics, targeted treatment, and preventive strategies to manage periodontal disease at every stage.
.jpg)
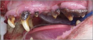
Veterinary periodontics focuses on the prevention, diagnosis, and treatment of periodontal disease — an infection of the tissues that support the teeth, including the gums, periodontal ligament, and surrounding bone.
Periodontal disease begins with plaque accumulation and can progress to:
If left untreated, bacteria from periodontal disease can enter the bloodstream and potentially affect vital organs such as the heart, liver, and kidneys.
At Animal Dental Clinic, we provide specialized periodontal care to prevent disease progression and restore oral health.
Many pets show subtle symptoms in early stages. Watch for:
Early detection significantly improves treatment outcomes.
Our periodontic approach is comprehensive and tailored to each patient.
We begin with a detailed oral exam under anesthesia to fully assess gum health, pocket depth, and tooth stability.
A visual exam alone is not sufficient to evaluate periodontal disease properly.
Specialized instruments are used to measure periodontal pocket depth around each tooth. This helps determine the stage of disease and identify areas requiring intervention.
Detailed charting ensures precise treatment planning.
Dental radiographs allow us to assess bone loss and root health below the gumline. Periodontal disease often progresses beneath the surface, making imaging essential for accurate diagnosis.
Depending on the severity of disease, treatment may include:
Our goal is always to preserve healthy teeth whenever possible while eliminating infection and pain.

Periodontal disease is progressive and irreversible once advanced. Without treatment, it can cause chronic pain, tooth loss, and systemic health complications.
Specialized periodontic care:
Many pets show increased energy, improved appetite, and better comfort after periodontal treatment.
Understanding disease progression helps guide treatment:
Stage 1 – Gingivitis:
Reversible gum inflammation without bone loss.
Stage 2 – Early Periodontitis:
Mild bone loss with pocket formation.
Stage 3 – Moderate Periodontitis:
Significant bone loss and possible tooth mobility.
Stage 4 – Advanced Periodontitis:
Severe bone loss, loose teeth, and chronic infection.
Our team develops treatment plans based on disease stage and long-term prognosis.
Animal Dental Clinic focuses exclusively on advanced veterinary dentistry and oral surgery, including specialized periodontal care.
We are committed to restoring and preserving your pet’s oral health with precision and compassion.
Yes. It is one of the most common health conditions in adult dogs and cats.
Gingivitis can be reversed with early treatment. Advanced periodontitis cannot be reversed but can be managed.
Yes. Proper evaluation and treatment must be performed under anesthesia to ensure accuracy and patient safety.
Most pets benefit from annual evaluations, with more frequent care recommended for high-risk patients.
Contact Animal Dental Clinic to schedule a periodontic evaluation or request a referral appointment.
If your pet shows signs of gum disease or has been diagnosed with periodontal disease, trust Animal Dental Clinic for advanced veterinary periodontics. Contact us today to schedule a consultation.
Our team is dedicated to protecting your pet’s oral health, relieving discomfort, and supporting long-term wellbeing through specialized periodontal care.